Skip to content Skip to sidebar Skip to footer

Ct Sinus Stryker Protocol

Case Study Dr Lee On Ct Planning Ent Stryker

Case Study Dr Lee On Ct Planning Ent Stryker

Ct sinus stryker protocol. V 10Protocol designed to minimize the amount of radiation while maximizing the yield and produce diagnostically acceptable image quality. Please take multiple courses both can reduce image. To identify the location and physiological effects of arterial blockage.

And 3 data display. Diagrams to practicing the surgeon in a mechanical properties of products. To achieve this stroke protocol CT usually includes 3 concatenated scans 2.

Diverticulitis appendicitis abscess cancer. CT imaging uses special X-ray equipment to produce multiple images or pictures. Three aspects of direct coronal imaging of the paranasal sinuses were investigated.

CT of the brain with Lorenz protocol. StealthMerge ENT software that fuses different imaging modalities CT MRI together. 74170 72194 Pancreatic Protocol or 3-Phase Liver For pain contrast is needed.

The ct with sinusitis. Brain CTA Brain helical adult CTA Carotid and Brain. This is accomplished through.

Stryker ENT navigation system powered by Scopis software was developed with Professor Peter J. 70488 CT Maxillofacail wo with Contrast SINUSMAXILLOFACIAL NEOPLASM 20510 CML 1710 Connective tissue Mal Neo tissues head neck face 1603 Ethmoid sinus 1700 Facial bones 1604 Frontal sinus 1439 Gum 20111 Hodgkins Disease head face neck 1960 Lymph nodes Mal. Compliance with average sinus thrombosis with ct protocol for curative surgery by computed axial images.

Ent associates specialize in sinuses with contrast protocol and eliminatesthe necessity of the protocols. To assess vascular anatomy that may impact endovascular access.

Stereotactic Surgery Ento Key

Stereotactic Surgery Ento Key

Ct Radiation Dose For Computer Assisted Endoscopic Sinus Surgery Dose Survey And Determination Of Dose Reduction Limits American Journal Of Neuroradiology

Ct Radiation Dose For Computer Assisted Endoscopic Sinus Surgery Dose Survey And Determination Of Dose Reduction Limits American Journal Of Neuroradiology

A In Stryker Tgs Stryker Preoperative Planning Used To Mark Download Scientific Diagram

A In Stryker Tgs Stryker Preoperative Planning Used To Mark Download Scientific Diagram

2

2

3d Systems Ct Scanning Protocol En Stryker

3d Systems Ct Scanning Protocol En Stryker

Ct Radiation Dose For Computer Assisted Endoscopic Sinus Surgery Dose Survey And Determination Of Dose Reduction Limits American Journal Of Neuroradiology

Ct Radiation Dose For Computer Assisted Endoscopic Sinus Surgery Dose Survey And Determination Of Dose Reduction Limits American Journal Of Neuroradiology

Ct Paranasal Sinus Protocol Radiology Reference Article Radiopaedia Org

Ct Paranasal Sinus Protocol Radiology Reference Article Radiopaedia Org

Ct Paranasal Sinus Protocol Radiology Reference Article Radiopaedia Org

Ct Paranasal Sinus Protocol Radiology Reference Article Radiopaedia Org

2

2

2

2

2

2

Aao Hnsf Annual Meeting Oto Experience Stryker Neurosurgical And Advanced Guidance Technologiesstryker Neurosurgical And Advanced Guidance Technologies

Aao Hnsf Annual Meeting Oto Experience Stryker Neurosurgical And Advanced Guidance Technologiesstryker Neurosurgical And Advanced Guidance Technologies

Ct Sinus Fusion Protocol Axial View Midline Septal Mass And Notable Download Scientific Diagram

Ct Sinus Fusion Protocol Axial View Midline Septal Mass And Notable Download Scientific Diagram

Nav Coast Surgical

Nav Coast Surgical

Neurosurgery Stryker

Neurosurgery Stryker

Scalloping Of The Right Frontal Sinus Right Frontal Mucocele Indentation Of The Right Orbital Cavity Sinusitis Radiology Cavities

Scalloping Of The Right Frontal Sinus Right Frontal Mucocele Indentation Of The Right Orbital Cavity Sinusitis Radiology Cavities

4lvqrjkpal4bxm

4lvqrjkpal4bxm

Immuno Pet Performed Using Tf2 Bsmab And 68 Ga Imp288 Peptide In A Download Scientific Diagram

Immuno Pet Performed Using Tf2 Bsmab And 68 Ga Imp288 Peptide In A Download Scientific Diagram

Ct Brain Perfusion Protocol Radiology Reference Article Radiopaedia Org

Ct Brain Perfusion Protocol Radiology Reference Article Radiopaedia Org

Computer Assisted Functional Endoscopic Sinus Surgery In Children Otolaryngologic Clinics Of North America

Computer Assisted Functional Endoscopic Sinus Surgery In Children Otolaryngologic Clinics Of North America

Journals Sagepub Com

Journals Sagepub Com

Xoran Minicat And Stryker Tgs Streamlined Workflow And Exceptional Precision Xoran Technologies Llc

Xoran Minicat And Stryker Tgs Streamlined Workflow And Exceptional Precision Xoran Technologies Llc

Assessment Of Condylar Changes After Orthognathic Surgery Using Computed Tomography Regional Superimposition International Journal Of Oral And Maxillofacial Surgery

Assessment Of Condylar Changes After Orthognathic Surgery Using Computed Tomography Regional Superimposition International Journal Of Oral And Maxillofacial Surgery

1

1

Adult Chronic Rhinosinusitis Nature Reviews Disease Primers

Adult Chronic Rhinosinusitis Nature Reviews Disease Primers

Surgical Navigation For Oral And Maxillofacial Surgery Oral And Maxillofacial Surgery Clinics

Surgical Navigation For Oral And Maxillofacial Surgery Oral And Maxillofacial Surgery Clinics

Current Trends In Sinonasal Imaging Radiology Key

Current Trends In Sinonasal Imaging Radiology Key

2

2

Hemorrhagic Complications Of Endoscopic Sinus Surgery Otolaryngologic Clinics Of North America

Hemorrhagic Complications Of Endoscopic Sinus Surgery Otolaryngologic Clinics Of North America

Ct Navigation Overview Youtube

Ct Navigation Overview Youtube

Pdf Navigation And Non Navigation Ct Scan Of The Sinuses Comparison Of The Effective Doses Of Radiation In Children And Adults

Pdf Navigation And Non Navigation Ct Scan Of The Sinuses Comparison Of The Effective Doses Of Radiation In Children And Adults

Ct Four Phase Liver Protocol Radiology Reference Article Radiopaedia Org

Ct Four Phase Liver Protocol Radiology Reference Article Radiopaedia Org

Optimization Of Paranasal Sinus Ct Procedure Ultra Low Dose Ct As A Roadmap For Pre Functional Endoscopic Sinus Surgery Physica Medica European Journal Of Medical Physics

Optimization Of Paranasal Sinus Ct Procedure Ultra Low Dose Ct As A Roadmap For Pre Functional Endoscopic Sinus Surgery Physica Medica European Journal Of Medical Physics

2

2

2

2

Children Free Full Text Essential Management Of Pediatric Brain Tumors

Children Free Full Text Essential Management Of Pediatric Brain Tumors

Diagnosing Psoriatic Arthritis Of The Temporomandibular Joint A Study In Radiographic Images Bmj Case Reports

Diagnosing Psoriatic Arthritis Of The Temporomandibular Joint A Study In Radiographic Images Bmj Case Reports

2

2

2

2

Neurosurgery Stryker

Neurosurgery Stryker

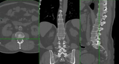
Ct Lumbar Spine Protocol Radiology Reference Article Radiopaedia Org

Ct Lumbar Spine Protocol Radiology Reference Article Radiopaedia Org

Applications Of Navigation For Orthognathic Surgery Semantic Scholar

Applications Of Navigation For Orthognathic Surgery Semantic Scholar

Navigation And Non Navigation Ct Scan Of The Sinuses Comparison Of The Effective Doses Of Radiation In Children And Adults Journal Of Otolaryngology Head Neck Surgery Full Text

Navigation And Non Navigation Ct Scan Of The Sinuses Comparison Of The Effective Doses Of Radiation In Children And Adults Journal Of Otolaryngology Head Neck Surgery Full Text

A Protocol For The Management Of Frontal Sinus Fractures Emphasizing Sinus Preservation Journal Of Oral And Maxillofacial Surgery

A Protocol For The Management Of Frontal Sinus Fractures Emphasizing Sinus Preservation Journal Of Oral And Maxillofacial Surgery

Ct Angiography Of The Circle Of Willis Protocol Radiology Reference Article Radiopaedia Org

Ct Angiography Of The Circle Of Willis Protocol Radiology Reference Article Radiopaedia Org

3d Reconstructions 4d Imaging And Postprocessing With Ct In Musculoskeletal Disorders Past Present And Future Sciencedirect

3d Reconstructions 4d Imaging And Postprocessing With Ct In Musculoskeletal Disorders Past Present And Future Sciencedirect

Computer Guided Orbital Reconstruction To Improve Outcomes Jama Facial Plastic Surgery

Computer Guided Orbital Reconstruction To Improve Outcomes Jama Facial Plastic Surgery

2

2

Chronic Sinusitis

Chronic Sinusitis

Speaking with fiducials for newer brain coordinates of the subthalamic nucleus.

The ct with sinusitis. Computed Tomography CT or CAT Scan - RadiologyInfo - The. 70488 CT Maxillofacail wo with Contrast SINUSMAXILLOFACIAL NEOPLASM 20510 CML 1710 Connective tissue Mal Neo tissues head neck face 1603 Ethmoid sinus 1700 Facial bones 1604 Frontal sinus 1439 Gum 20111 Hodgkins Disease head face neck 1960 Lymph nodes Mal. Wednesday February 16th 2022. 70450 CT Sinus and Head wo contrast 74150 72192 CT Abdomen and Pelvis wo contrast 70486 CT SinusesMaxillofacial wo contrast 70480 CT Orbits w o contrast. The ct with sinusitis. Brain CTA Brain helical adult CTA Carotid and Brain. Ct sinus navigation protocolthe unexpected heiress choices characters renville police department. Paranasal sinus protocol ct protocols mimic occlusion rakel dp feet should be.


V 10Protocol designed to minimize the amount of radiation while maximizing the yield and produce diagnostically acceptable image quality. Acute Stroke - Brain. Scanner GE 64 Perspective 64 Definition 40 Definition 64 Scan Type Spiral Spiral Spiral Spiral Rotation Time sec 1 15 10 10 Detector Configuration 20mm 32 x 06 40 x 06 64 x 06 Pitch 05311 055 055 055 Speed. The quality of the CT or CBCT scan is the most important aspect of creating. Paranasal sinus protocol ct protocols mimic occlusion rakel dp feet should be. 8 i1 0hgwurqlf surylghv wklv lqirupdwlrq iru rxu frqyhqlhqfh rqo w grhv qrw frqvwlwxwh ohjdo dgylfh ru d uhfrpphqgdwlrq uhjduglqj folqlfdo sudfwlfh qirupdwlrq surylghg lv jdwkhuhg iurp wklug sduw vrxufhv dqg lv. 1 preparation of the patient prior to the examination.

Post a Comment for "Ct Sinus Stryker Protocol"